Ce dispositif médical, conçu sur mesure, rétablit une bonne occlusion dentaire, c’est-à-dire un contact équilibré entre les deux mâchoires.
Fiches conseils - Page 8
La dysfonction de l’appareil manducateur, ou DAM, désigne les troubles musculaires et articulaires de la mandibule (mâchoire inférieure).
La totalité des dents des deux maxillaires constitue un ensemble stable et la perte d’une seule dent peut perturber tout l’équilibre de la bouche.
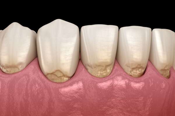
La mylolyse ou lésion cervicale d’usure se définit comme une perte de matière dentaire se localisant au collet de la dent.
Oui bien sûr ! Ne serait-ce que pour garder le plus longtemps possible ce bon état dentaire.
Chez l’enfant comme chez l’adulte, tout accident qui affecte les dents est une urgence ! Quels
sont les premiers soins et le suivi dans la durée ?
La bonne préparation d’une intervention dentaire vous permettra d’en obtenir les meilleurs résultats avec un minimum de désagréments.
Les interventions sont souvent suivies d’une gêne ou d’un inconfort. Des règles simples permettent de gérer au mieux les suites opératoires.
Les mycoses buccales se développent principalement sur la langue et à l’intérieur de la bouche lorsque l’équilibre bactérien est rompu.
Le bruxisme est l’action de grincer des dents, particulièrement durant le sommeil, en produisant des bruits de frottements dentaires.
La réduction de la sécrétion salivaire se traduit par des sensations de picotements, de soif, une difficulté à mastiquer et à avaler.
Dans quels cas est-il nécessaire de procéder à une extraction dentaire et comment se déroule l’intervention ?
Catégories
- Fiches conseils (215)
- Vidéos 3D (56)













